Clínica Dental Barrachina

La teva Clínica Dental a Arenys de Munt

Vista general del box dental de la Clínica Dental Ariadna Barrachina d'Arenys de Munt

LA TEVA CLÍNICA DENTAL DE CONFIANÇA A ARENYS DE MUNT

Clínica Dental Barrachina, el vostre centre de confiança a Arenys de Munt per a la cura completa de la vostra salut bucodental. 

La nostra clínica disposa de dos box completament equipats, dissenyats per oferir el màxim confort i eficiència durant els tractaments dentals,  amb tecnologia per a diagnòstics precisos i tractaments efectius. 

ESCÀNNER INTRAORAL

Disposem d’escanner intraoral d’última generació, que ens permet obtenir imatges detallades de la vostra boca en temps real, millorant així la precisió dels diagnòstics i la planificació dels tractaments.

Escàner intraoral DEXIS IS 3600 de la Clínica Dental Ariadna Barrachina d'Arenys de Munt
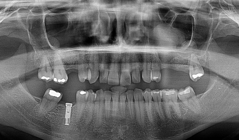
Ortopantomografia digital amb implant dental realitzada a la Clínica Dental Ariadna Barrachina d'Arenys de Munt

ORTOPANTOMÒGRAF

A més, comptem amb un ortopantomògraf, una eina essencial per obtenir radiografies panoràmiques de la mandíbula i les dents. Gràcies a aquest equipament, podem realitzar ortopantomografies amb alta precisió, la qual cosa ens ajuda a detectar problemes que podrien passar desapercebuts amb altres mètodes.

SISTEMA D'ANESTÈSIA ELECTRÒNICA ASISTIDA

A la nostra clínica, oferim la possibilitat de realitzar tractaments amb anestèsia electrònica assistida, una tècnica innovadora que permet administrar l’anestèsia d’una manera més suau i precisa. És especialment útil per a infants o persones amb sensibilitat o por a les injeccions tradicionals.

Aquest servei es realitza amb la visita d’un professional especialitzat i està disponible segons programació. Si estàs interessat o interessada, pots consultar-nos i sol·licitar-lo amb antelació.

Sistema d'anestèsia electrònica de la Clínica Dental Ariadna Barrachina d'Arenys de Munt

EL VOSTRE BENESTAR DENTAL, LA NOSTRA PRIORITAT

La nostra missió és oferir-vos una atenció dental integral i personalitzada, centrada en les vostres necessitats individuals. Cada tractament és planificat amb cura per assegurar els millors resultats possibles per a la vostra salut bucodental i benestar. 

ELS NOSTRES SERVEIS

TRACTAMENTS DENTALS

El nostre equip ofereix una gamma de serveis per a totes les edats i necessitats, per acompanyar-vos en la millora de la vostra salut bucodental.

Icono diente odontologia general

ODONTOLOGIA GENERAL

Cura integral del teu somriure, des de neteges regulars fins a tractaments preventius. Cuidem la salut bucodental de tota la família.

Icono diente odontopediatría

ODONTOPEDIATRIA

Som especialistes en la salut bucodental dels més petits, en un ambient acollidor, amb tractaments adaptats per als infants. 

icono diente ortodoncia

ORTODÒNCIA

Corregeix el teu somriure amb les nostres solucions d’ortodòncia, dissenyades per alinear les teves dents i millorar la teva mossegada a qualsevol edat. Treballem amb ortodòncia invisible i brackets autolligables.

Icono diente cirugia oral

CIRURGIA ORAL I IMPLANTOLOGIA

Reconstruïm somriures amb tecnologia punta en cirurgia oral i implantologia, tornant la funcionalitat i estètica a la teva boca.

Icono diente protesis dental

PRÒTESIS DENTALS

Solucions personalitzades en pròtesis dentals per restaurar el teu somriure i la confiança en tu mateix, amb comoditat i naturalitat.

icono diente estética dental

ESTÈTICA DENTAL I PERIORAL

Transformem somriures amb tractaments estètics dentals i periorals, perquè llueixis sempre la teva millor versió.

icono diente endodoncia

ENDODÒNCIA

Preservem la teva salut dental amb tractaments d’endodòncia que alleugen el dolor i salven les dents naturals.

icono diente periodoncia

PERIODÒNCIA

Especialistes en la cura de les genives. Tractem i prevenim les malalties periodontals per assegurar la base d’un somriure saludable.

CONTACTA AMB NOSALTRES

icono de telefono

TRUCA’NS

Truca’ns i parlem de com podem cuidar del teu somriure.

Icono de whatsapp

WHATSAPP

Contacta amb nosaltres per Whatsapp

icono de correo electrónico

ENVIA’NS UN EMAIL

Tens preguntes? Envian’s un correu electrònic i et contestarem amb la informació que necessites.

icono de edificio

VISITA’NS

Vine a conèixer-nos. La nostra Clínica és el teu espai per aconseguir el somriure que desitges.

Plaça de l’Església, 1
08358 Arenys de Munt

FORMULARI DE CONTACTE

Per a realitzar una consulta o programa una cita.

POLITICA DE CANCEL·LACIONS I NO ASSISTÈNCIA

A la Clínica Dental Barrachina treballem per oferir-vos una atenció de qualitat i cites programades de manera puntual per a tothom. Per això disposem d’un protocol específic per gestionar les anul·lacions i les absències sense previ avís.